

  如果发现缺失了乳牙或恒牙,应该去看牙医,请牙医及早采取补救措施。常见的修复缺失牙的方法有三种,即活动义齿、固定义齿、种植义齿,它们各有所长。
 1、活动义齿,它由卡环(老百姓俗称“钢丝钩”)、基托、人工牙、支托组成,其原理是通过卡环“钩住”剩余牙齿来稳定假牙,基托连接人工牙来修复缺失牙。卡环与基托是多出来的附加结构,影响美观、发音,会有异物感,另外,整个假牙每天必须取下清洁刷洗几次,否则食物会进入假牙与牙龈之间,或粘附于假牙表面上,引发口腔疾病,甚至产生口腔异味。可见,活动义齿缺点较多,麻烦不少。   
2.固定义齿,牙科医生称之为“固定桥”,老百姓多称其为“烤瓷牙”。具体做法是把缺失牙两边的健康牙磨小,变成“桥墩”,然后做牙套套住两边磨小的牙齿,来架住缺失的牙齿(又称桥体),这种方法无需每天取下来清洁,咀嚼功能较强,但有一个致命弱点,即为了修复缺失牙,需要磨削两边的健康牙齿,未镶缺牙而先损好牙,实在可惜。如果恰好邻牙本身就有问题,如龋齿、隐裂或者已经做过根管治疗需要做牙套保护,选择这种方法比较合适。   
3.种植义齿,老百姓称之为“种植牙”,其原理是在缺失牙的部位将纯钛的种植体植入牙床内。3个月后,种植体通过表面的生物活性涂层与周围骨质发生骨融合,然后在种植体上安装牙冠或牙桥,其结构与感觉类似于天然牙齿,无需取戴,咀嚼功能强,既克服了活动义齿的不美观、不舒适、每天需清洗的缺点,又不需要磨削缺牙部位相邻的健康牙。目前这种镶牙法,成为口腔医学界公认的缺失牙的首选修复方法。
    但是种植业发展还不是很成熟,不是说任何人都适合做种植,所以呢因为后期效果谁都不敢保证就是没有排斥反应,就是可以种活。那怎么办呢??
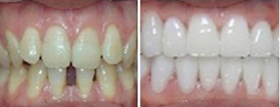
     美联臣美容牙科引来美牙修复矫正大风潮,席卷全国!新型美牙技术------美容冠技术的引进,得到广大人士的认可与推崇!!更是明星美牙的选择!!!